
歯の神経は、歯の寿命を延ばすためには、とても大切なものですが、深いむし歯で強い痛みや、膿がたまってしまった場合は、歯の根の中をきれいにする処置「根管治療」が必要となります。
根の形は人により様々で、時間がかかり、再治療が必要になることが多い処置になりますが、湘南つばめ歯科では、最新の治療器具をご用意し、原因を探りながら、繊細な処置を行っていきます。
難治性の場合や治療困難な場合、CTなどを用い的確な診断を行った上で、歯根端切除術や再植などの外科的治療を行う場合もあります。
むし歯などで神経が感染をおこした場合、神経が通っていた管の清掃を行います。
その際「ファイル」という写真のような道具を使い、歯の長さを測る根管長測定器に接続し、歯の根の先端の位置を計測しながら根の先まで機械的に、薬液を使い科学的に清掃し、その後菌が増えないように薬で封鎖します。
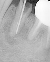
実際の治療例です。
真ん中の歯の頭が黒くなっており、むし歯が歯の中にある黒い線の神経の部屋まで到達していました。そこでむし歯を取り除き、神経の部屋の清掃を行い、薬で封鎖しました。
白く写る薬が根の先まで到達していますが、根の先で神経が枝分かれしているのが見て取れます。
この薬を根の先までしっかり入れることで細菌が増えるのを防ぎます。
他にも写真の様に根の先端は複雑な形をしています。
神経の治療は少し回数がかかる場合がありますが、建物でいう土壌整備に当たる非常に大事な治療で、その歯の予後を決めるといってもよいでしょう。
根の治療では治らない膿の袋をと感染した根の先の一部を、外科的に取り除く方法です。
歯の神経の治療において、通常の神経の治療では症状が改善しない場合があります。
例えば根の外に細菌がバイオフィルムと呼ばれる巣を作ってしまった場合、これを取り除かないと治癒しません。
その場合、外科的な治療が必要となることがあります。
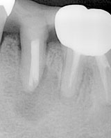
歯根端切除術を行った例です。
向かって左の2本は歯の中にあります白く写る神経の薬の入りが悪く、根の先が黒くなり、骨が溶けているのがわかります。
まず通常の神経の治療を行いました。
これにより右寄りの歯は症状も落ち着き、薬は根の先まで入れ、かぶせ物をしました。
ところが左の歯は赤丸で囲んだように根の先が太く破壊されており、治療をすすめても膿が止まりませんでした。
そこで、根の中に薬を入れ、
歯ぐきに切開を加え、外科的に根の先端を3ミリほど取り除き、根の先端側から薬を追加し糸で縫いました。
術後5か月目の写真です。
以前あった根の先の黒さが薄れ、骨が回復してきているのがわかります。
歯を一度抜歯し、外で治療を行い、再度歯を元に戻す方法です。
根管治療の効果がない歯で、歯が存在する位置や、骨の溶けている部位により、歯根端切除を行うのが困難な場合に行います。
患者様は歯ぐきの腫れを繰り返しているということで治療を開始しました。
レントゲン写真を撮ってみると、歯の根の先が黒くなり、骨が溶けているのがわかりました。
歯の中に器具を入れてみると、歯の中で元々の道筋とは違うところに器具が通っていくのがわかりました。
器具を入れると白い器具が根っこの右にそれているのがわかります。
通常はまず抜歯する例ですが、患者さまと話し合い、出来るだけ保存する方法を選びました。
まず神経の治療を元々の道と穴があいているところ、両方に対して行いました。
実際のお口の中です。
残っている歯の壁が薄く、歯の頭が短いことが分かります。
今回は根の先も壊れており、膿の袋も大きく、この歯の下には神経が通っているため、一度抜歯を行い、根の外で直接感染部位を取り除き薬を入れて元に戻す、再植と歯根端切除、逆根管充填を選択しました。
このままでは抜歯時に歯が折れてしまう可能性があるため、先に薬を根の中まで流し込み、土台を立て補強しました。
途中で薬が二つに分かれていくのがわかります。
白いのが樹脂の土台です。
実際に抜去した歯です。
白い土台は抜歯時に折れてしまったものの、きれいに抜歯ができました。
根の先にオレンジ色の薬が2か所から出ているのがわかります。
根の先を3ミリほど切除し、根の先端に灰色の薬、MTAセメントを入れました。
そして骨が溶けていた部分にある悪い組織と、はみ出した薬を取り除き、歯を戻したところです。
歯の頭の高さを得るため、もとの位置より少し浮かせた状態で戻し、隣りの歯と固定しました。
13か月後の写真です。
根の先の黒い影がなくなり、骨が回復しているのがわかります。
非常に厳しい状態で治療が始まりましたが、何とか保存することができました。